Boost Your Prep with FMGE Previous Year Question Papers β Free PDF Download

The Foreign Medical Graduate Examination (FMGE) is an entrance examination for Indian citizens who have completed their MBBS abroad but want to practice in India. For this, aspirants must collect previous year FMGE question papers for effective practice.
These question papers help students develop a strategy to qualify for the FMGE exam effortlessly. Thus, students need to wait for the FMGE result of the previous year, which NBEMS publishes.
Keep reading to learn how to download previous years’ question papers and why this is beneficial for FMGE aspirants!
FMGE Previous Year Question Papers with Solutions PDF For Free
You can access the previous year’s FMGE question paper in PDF format with answers. The last 6 years’ question paper is available with solved answers. Here are some of the readily available FMGE PYQ PDFs:
These question papers are valuable for the following reasons:
- They highlight high-yield subjects (Medicine, Surgery, Community Medicine, OBGYN).
- They include rationales for correct answers.
- Some versions provide recall-based questions from the latest FMGE sessions.β
Platforms like DocTutorials provide curated FMGE question banks and access to topic-wise discussion sessions to help candidates identify frequently repeated question patterns.
FMGE Jan 2025 Question Paper
1. Subtopic: Respiratory Complications of Trauma
Question Number: 1
Clinical question
A 25-year-old man is brought to the Emergency Room (ER) after a car accident. He has multiple injuries, including a fractured tibia. He was treated and stabilized, but 48 hours later, he suddenly developed difficulty in breathing, tachypnoea, tachycardia, and visible cyanosis. What is the most likely diagnosis? (Medicine)
Options:
- Fat embolism
- Pulmonary embolism
- Acute respiratory distress syndrome
- d) Pulmonary oedema
Correct Answer: A) Fat embolism (Most likely correct)
Get the full explanation here: https://www.doctutorials.com/fmge/qbank/pyq/1000119
2. Topic: Haemoglobin and Porphyrins
Subtopic: Jaundice
Non-Clinical Question
1. A 4-day-old neonate presents with a bilirubin level of 15 mg/dL. The most probable cause is? (Biochemistry)
Options:
- Physiological jaundice.
- Gilbert syndrome
- Hemolysis
- Crigler-Najjar syndrome Type II
Correct Answer: A) Physiological Jaundice
Get the full explanation here: https://www.doctutorials.com/fmge/qbank/pyq/1000187
3. Topic: Central Nervous System
Subtopic: Tumours
Non-Clinical Question:
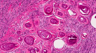
A 55-year-old female presents with complaints of persistent headaches. A CT scan of the head reveals a mass lesion. HPE findings are given below, showing psammoma bodies. Based on these findings, what is the likely diagnosis? (Pathology)

Options:
- Glioblastoma
- Astrocytoma
- Meningioma
- Medulloblastoma
Correct Answer: C) Meningioma.
Get the full explanation here: https://www.doctutorials.com/fmge/qbank/pyq/1000112
A 45-year-old woman presented with a tingling sensation of lateral three digits with loss of sensation of base of thumb on the dorsal aspect of the hand. Which is the nerve involved? (Anatomy)
Options:
- Radial nerve
- Ulnar nerve
- Median nerve
- AIN
Correct Answer: A) Radial nerve
Get the full explanation here: https://www.doctutorials.com/fmge/qbank/pyq/1000109
5. Subtopic: Types of Epiphyses
Question Number: 1
Non-Clinical question
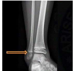
The structure indicated by the arrow represents a specific type of epiphysis. What type of epiphysis is shown? (Orthopaedics)

Options:
- Pressure epiphysis
- Traction epiphysis
- Atavistic epiphysis
- Aberrant epiphysis
Correct Answer: A) Pressure epiphysis
Get the full explanation here: https://www.doctutorials.com/fmge/qbank/pyq/1000141
6. Subtopic: Endometrial Hyperplasia
Question Number: 1
Clinical question
A 48-year-old postmenopausal female presents with irregular uterine bleeding. Endometrial biopsy reveals endometrial hyperplasia without atypia. What is the most appropriate treatment option? (OBGYN)
Options:
- Combined Oral Contraceptive Pills (COCPs)
- Levonorgestrel Intrauterine System (LNG-IUS)
- Danazol
- Progesterone
Correct Answer: D) Progesterone
Get the full explanation here: https://www.doctutorials.com/fmge/qbank/pyq/1000155
7. Subtopic: Musculoskeletal Infections
Question Number: 2
Clinical question
A 40-year-old male presents with chronic back pain that has progressively worsened over the past few months. He also reports fever, night sweats, and unintentional weight loss. On examination, there is localized tenderness over the lower thoracic and lumbar spine. MRI spine is shown below. What is the most likely diagnosis? (Medicine)

Options:
- Pott’s spine
- Osteoporotic vertebral fracture
- Metastatic spinal tumor
- Ankylosing spondylitis
Correct Answer: A) Pottβs spine
Get the full explanation here: https://www.doctutorials.com/fmge/qbank/pyq/1000119
8. Topic: Central Nervous System Infections
Subtopic: Meningitis
Non-Clinical Question:
A 39-year-old patient with HIV and a CD4 count of 139 cells/uL presents with altered sensorium and impaired consciousness. CSF examination using an India ink preparation reveals a positive result. Which organism is most likely responsible? (Microbiology)
Options:
- Candida tropicalis
- Histoplasma
- Cryptococcus neoformans
- Candida albicans
Correct Answer: C) Cryptococcus neoformans
9. Topic: Endocrine System
Subtopic: Tumours
Non-Clinical Question:
69. A 45-year-old patient presents with a solitary thyroid nodule. Histopathological examination of the thyroid mass shows pink, eosinophilic extracellular material. What is the most likely diagnosis? (Pathology)
Options:
- Papillary carcinoma
- Follicular carcinoma
- Medullary carcinoma
- Anaplastic carcinoma
Correct Answer: C) Medullary carcinoma
10. Topic: Acid-base balance
Subtopic: Buffer system
Non-Clinical Question
2. Which of the following amino acids primarily acts as a buffer in blood due to its ability to accept and donate protons at physiological pH? (Biochemistry)
Options:
- Histidine
- Arginin
- Tryptophan
- Tyrosine
Correct Answer: A) Histidine
11. Subtopic: Benign Soft Tissue Tumors of the Hand
Question Number: 3
Clinical question
A 20-year-old male patient presented to OPD with the given presentation. He reports fluctuation in size of the swelling, mild numbness in the hand, and occasional pain. Identify the swelling on the dorsal aspect of the wrist? (Medicine)

Options:
- Ganglion cyst
- Sebaceous cyst
- Lipoma
- Hematoma
Correct Answer: A) Ganglion Cyst
12. Subtopic: Laparoscopic Surgery
Question Number: 1
Non-Clinical question
What is the instrument of choice for creating pneumoperitoneum in the closed technique of laparoscopic procedures? (Surgery)
Options:
- Veress needle
- Hegarβs dilator.
- Karmanβs cannula
- Hassanβs cannula
Correct Answer: A) Veress needle
13. Subtopic: Parasitology
Question Number: 97
Non-Clinical question
Identify A and B in the given image? (PSM)
A. B.
Options:
- Anopheles and Culex
- Culex and Aedes
- Anopheles and Aedes
- Aedes and Mansoni
Correct Answer: A) Anopheles and Culex
14. Subtopic: Cholinergic Antagonists / Antidotes in Toxicology
Question Number: 1
Non-Clinical question
Which symptom of organophosphate (OP) poisoning is not reversed by atropine? (Pharmacology)
Options:
- Coma
- Muscle weakness
- Pinpoint pupil
- Bradycardia
Correct Answer: B) Muscle weakness
15. Topic: Cellular Physiology
Subtopic: Skeletal Muscle
Non-Clinical Question:
222. Which of the following changes occur when the muscle contracts while exercising? (Physiology)
Options:
- Band M decreases
- Band M & I decreases
- Band A decreases
- Band I decrease
Correct Answer: D) Band I decrease
16. Subtopic: Pediatric Growth and Nutritional Assessment
Question Number: 1
Non-Clinical question
Chronic malnutrition is best measured by: (Pediatrics)
Options:
- Height for age
- Weight for age
- Weight for height
- Body mass index
Correct Answer: A) Height for age
17. Subtopic: Bisphosphonates (Adverse Effects & Administration)
Question Number: 2
Clinical question
A patient taking alendronate is advised to remain upright for at least half an hour after administration. What is the reason for this recommendation? (Pharmacology)
Options:
- Reflux esophagitis
- Gastritis
- Nephrotoxicity
- Hypercalcemia
Correct Answer: A) Reflux esophagitis
18. Topic: Mood Disorders
Subtopic: Bipolar Disorder
Non-Clinical Question:
A 24-year-old male, previously diagnosed with a psychiatric disorder, has become aggressive with his neighbours, is speaking rapidly, and is sleeping very little. He also exhibits hyperactive behaviour after discontinuing his prescribed medication. What is the most likely diagnosis? (Psychiatry)
Options:
- Depression
- Bipolar disorder. (manic episode)
- Schizophrenia
- Substance-induced mood disorder
Correct Answer: B) Bipolar disorder (manic episode)
19. Subtopic: Meckelβs Diverticulum
Question Number: 2
Clinical question
A 27-year-old male presents to the emergency room with complaints of pain in the right iliac fossa and melena. On examination, there is tenderness in the right iliac fossa along with nausea and vomiting. Following surgical intervention, the finding shown in the image was observed. What is the most likely diagnosis? (Surgery)
Options:
- Meckelβs diverticulum.
- Mucocele appendix
- Carcinoid appendix
- Appendiceal serous tumor
Correct Answer: A Meckelβs diverticulum
20. Topic: Substance-Related Disorders
Subtopic: Alcohol Withdrawal
Non-Clinical Question:
A 45-year-old man presents to the hospital with complaints of seeing snakes crawling and an inability to recognise his own family members. He reports his last alcohol intake was 48 hours ago. What is the most likely diagnosis? (Psychiatry)
Options:
- Alcohol-induced psychosis
- Delirium tremens
- Schizophrenia
- Alcoholic hallucinosis
Correct Answer: B) Delirium tremens
21. Subtopic: O2-Hemoglobin Dissociation Curve
Non-Clinical Question:
223. Which one of the following leads to a shift toward the dashed line curve in the given graph? (Physiology)

Options:
- Acidosis
- Less 2,3 BPG
- Hypocarbia
- Hypothermia
Correct Answer: A) Acidosis
22. Topic: Disorders of Skin Appendages
Subtopic: Acne
Clinical Question:
243. Which of the following is the most effective treatment for severe nodular acne? (Dermatology)
Options:
- Isotretinoin
- Steriod
- Topical tretinoin
- Antibiotics
Correct Answer: A) Isotretinoin
23. Topic: Neuroanatomy
Subtopic: Cranial Nerves
Non-Clinical Question: Which of the following cranial nerves form the afferent limb of the corneal reflex? (Anatomy)
Options:
- Optic nerve
- Facial nerve
- Trigeminal nerve
- Trochlear nerve
Correct Answer: D) Trigeminal nerve
24. Topic: Integration of Metabolism
Subtopic: Metabolism in Starvation
Non-Clinical Question
3. During starvation, which of the following hormones is primarily produced to maintain blood glucose levels? (Biochemistry)
Options:
- Glucagon
- Insulin
- Epinephrine
- Cortisol
Correct Answer: A) Glucagon
25. Subject: FMT
Topic: Medico-Legal
Subtopic: Dying Declaration (DD)
Question Number: 85Clinical question
A seriously injured villager is brought to the hospital after being assaulted by a group of 4β5 individuals. A dying declaration is being recorded in the hospital. Which of the following statements is medico-legally correct?
Options:
- An oath must be administered before recording the dying declaration.
- Only the police are authorized to record a dying declaration.
- An oath should not be administered before recording the dying declaration.
- Leading questions should be asked while recording the dying declaration.
Correct Answer: C) An oath should not be administered before recording the dying declaration.
26. Topic: Head and Neck
Subtopic: Nasopharynx
Clinical Question:
A 48-year-old man from China presented with hearing loss in the right ear. On examination, the tympanic membrane was dull, and a B-type tympanogram was seen. Lymph nodes in the neck are palpable. What is the appropriate management? (ENT)
Options:
- Grommet insertion + steroids
- Radiotherapy
- Wait and watch
- Radial neck dissection
Correct Answer: B) Radiotherapy
27. Subtopic:
Clinical question
A 25-year-old woman is found dead in her apartment. Postmortem examination reveals cherry-red discoloration of the skin and mucosa, and bilateral bright red hypostasis. Which of the following poisons is most likely responsible?
- Cyanide
- Carbon monoxide
- Methanol
- Organophosphate
Correct Answer: B) Carbon monoxide
28. Subtopic: Primary Malignant Bone Tumours
Question Number: 2
Clinical question
A 20-year-old male presents with localized pain that is gradual in onset and has progressively worsened over time. An X-ray reveals a sunburst appearance. What is the most likely diagnosis? (Orthopaedics)
Options:
- Osteosarcoma
- Ewing sarcoma
- Chondrosarcoma
- Gout
Correct Answer: A) Osteosarcoma
29. Topic: Disorders of Skin Appendages
Subtopic: Hair loss
Clinical Question:
244. A woman undergoing chemotherapy presents with rapid and significant hair loss within weeks of starting her treatment. This type of hair loss primarily affects the active growth phase of the hair cycle. What is the most likely cause of her hair loss? (Dermatology)
Options:
- Trichotillomania
- Anagen effluvium
- Alopecia areata
- Telogen effluvium
Correct Answer: A) Anagen effluvium.
30. Subtopic: Clinical Signs of Early Pregnancy
Question Number: 2
Non-Clinical question
Identify the sign shown in the image below: (OBGYN)
Options:
- Osiander
- Hartmann sign
- Chadwick
- Pisakaseck
Correct Answer: C) Chadwick
31. Topic: Cardiovascular System
Subtopic: Myocardial Infarction
Non-Clinical Question:
70. A patient is suspected of having a myocardial infarction. A triphenyl tetrazolium chloride (TTC) stain is used to identify myocardial ischemic damage. When is the best time to use TTC staining for optimal visualisation of myocardial necrosis? (Pathology)
Options:
- <4 hours
- 2-3 hours
- 10-24 hours
- 36 hours
Correct Answer: B) 2-3 hours
32. Topic: Histology
Subtopic: Cartilage and Bones
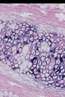
3. Non-Clinical Question Which type of cartilage is present in the histology section given below? (Anatomy)

Options:
- Hyaline cartilage
- Elastic cartilage
- Articular cartilage
- Fibrocartilage
Correct Answer: B) Elastic cartilage
33. Topic: Ear
Subtopic: Otitis Media
Clinical Question:
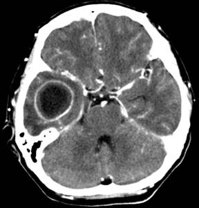
2. A patient with CSOM presented to the OPD with seizures, headache and complaints of nausea and vomiting. CT image of patient is given. Identify the clinical condition? (ENT)

Options:
- Temporal abscess
- Extradural abscess
- Meningitis
- Petrositis
Correct Answer: A) Temporal abscess
34. Subtopic: Heart Murmurs
Question Number: 5
Non-Clinical question
Graham steel murmur is seen in? (MEDICINE)
Options:
- Pulmonary hypertension
- Pulmonary regurgitation
- VSD
- Pulmonary stenosis
Correct Answer: B) Pulmonary regurgitation
35. Topic: Anaesthetic Emergencies
Subtopic: Malignant Hyperthermia
Clinical Question:
A patient undergoing surgery is administered succinylcholine for muscle relaxation. After administration, he developed hyperthermia, rigidity, tremors, and tachycardia. What is the most appropriate treatment for this condition? (Anaesthesia)
Options:
- Neostigmine
- Sodium dantrolene
- Atropine
- Midazolam
Correct Answer: B) Sodium dantrolene
36. Topic: Mineral metabolism
Subtopic: Potassium
Non-Clinical Question
A hypertensive patient presents with hypernatremia, hypokalemia, and metabolic alkalosis. What is the most likely diagnosis? (Biochemistry)
Options:
- Conn’s syndrome
- Addison’s syndrome
- Bartter’s syndrome
- Gitelmanβs syndrome
Correct Answer: a. Connβs syndrome
37. Topic: Female Genital System & Breasts
Subtopic: Tumours
Non-Clinical Question:
71. A 60-year-old female presents with a slow-growing, painless mass in her left breast. On physical examination, the mass is soft, well-circumscribed, and mobile. A biopsy is performed, and histopathology reveals the following. What is the most likely diagnosis? (Pathology)

Options:
- Medullary carcinoma
- Lobular carcinoma
- Mucinous carcinoma
- Invasive ductal carcinoma
Correct Answer: C) Mucinous carcinoma
What is the Pattern of the FMGE Question Paper?
As per the official updates, the FMGE exam pattern includes 300 MCQs in two parts. It is a computer-based test, divided into Part A and Part B, with each part containing 150 questions.
Here is a table to represent the FMGE Question Pattern:
| Particulars | Details |
| Examination Mode | Online CBT (Computer-based Test) |
| Number of Papers | 2 (Part A and Part B) |
| Medium of Examination | English |
| Duration of Examination | Total 5 hours (2.5 hours for each part) |
| Total Number of Questions | 300 (150 for each part) |
| Qualifying Marks | 150 out of 300 |
| Marking Scheme | +1 for each correct answer without any negative marking |
Subject-wise Weightage of FMGE
Pre & Para Clinical Subjects (100 Marks):
- Anatomy
- Physiology
- Biochemistry
- Pathology
- Microbiology
- Pharmacology
- Forensic Medicine
Clinical Subjects (200 Marks):
- Medicine
- Surgery
- Obstetrics & Gynaecology
- Paediatrics
- Ophthalmology
- ENT
- Radiology
- Psychiatry
- Anaesthesiaβ
Aspirants must understand this pattern to focus on the high-weightage topics while revising for their FMGE examination.β
What are the Steps to Download the FMGE Question Paper?
You can follow these easy steps to download the previous year’s FMGE question paper:
Step 1: Visit the Official FMGE Website
First, open your web browser and enter the official National Board of Examinations (NBE) website address. You can find the genuine FMGE exam-related resources from this authorised portal.
Step 2: Click on the FMGE Examination Tab
Navigate to the FMGE tab on the homepage and select it. Here you can find the section for Foreign Medical Graduate Examination, including application and notification details and downloadable materials.
Step 3: Enter Your Login Credentials
Provide your details, such as registered email and password or candidate ID. This login process ensures that only authorised applicants can access exam resources and previous year question papers.β
Step 4: Download the Question Paper
After logging in, youβll find a link or section for previous year question papers (such as FMGE 2024). Click the appropriate download link, and the question paper (usually in PDF format) will be saved to your device for practice.β
How Does the Previous Year FMGE Question Paper Benefit an Aspirant?
Solving past FMGE question papers helps aspirants understand the question patterns effectively. It provides the feel of a real examination, helps polish time management skills, and enhances decision-making under pressure.β
Here’s how practising the previous year’s FMGE exam paper helps an aspirant:
- Understanding Exam Structure and Mark Distribution
Regularly practising the FMGE previous year papers helps candidates understand the changing question trends and difficulty level. Many aspirants have observed that nearly 10β20% of FMGE questions are repeated, either directly or conceptually, across years.β
- Improves Your Accuracy and Speed
Solving timed papers replicates real-exam conditions, improving both response accuracy and reading speed. This builds exam-day confidence and makes it easier to complete both sections within the 5-hour window.
- Helps Identify Strengths and Weaknesses
Through self-assessment of attempted PYQs, aspirants can determine their strong areas and recognise subjects requiring additional focus, such as pharmacology or radiodiagnosis.β
- Helps Learn Time Management
FMGE is an exhaustive exam requiring mental endurance. Practising previous papers in real-time conditions improves focus, mental stamina, and efficiency during the actual CBT session.β
- Boosts Your Conceptual Clarity
Repeated exposure to MCQs across multiple sessions reinforces core medical concepts, helping link theory to clinical application.
- Reduces Exam Anxiety through Familiarity
Simulated practice fosters psychological preparedness and reduces pre-exam stress by reproducing the test format and interface experience.β
FAQs about FMGE Previous Year Question Paper
- What is the total number of questions in the FMGE exam?
There are 300 multiple-choice questions divided into two partsβPart A and Part Bβeach containing 150 questions.β
- What is the qualifying mark for FMGE?
Candidates must secure a minimum of 150 marks out of 300 (50%) to qualify for the FMGE exam.β
- How can I get the official FMGE previous papers?
Visit the official NBE website and download the previous year’s FMGE question paper. You can also access authentic past-year papers from DocTutorials.β
- What are the main subjects covered in FMGE?
FMGE covers 19 medical subjects, from Anatomy, Physiology, and Biochemistry to major clinical subjects like Medicine, Surgery, and OBGYN.β
- Can solving PYQs guarantee success in FMGE?
While solving PYQs alone does not guarantee success, it significantly boosts understanding, accuracy, and speed, which together increase the odds of qualification.β
- What are the best books to prepare for the FMGE exam?
Top books to prepare for FMGE include FMGE Solutions and Comprehensive Guide to FMGE by Dr. Deepak Marwah, FMGE Recall by Dr. Shahana Perveen, Self-Assessment & Review of FMGE by Kamal KV, and Review of Pharmacology by Dr. Gobind Rai Garg.β
Conclusion
Mastering FMGE demands strategic preparation, continuous assessment, and extensive practice. Previous year question papers serve as comprehensive tools for understanding exam trends, question framing, and self-evaluation.
Platforms like DocTutorials can be your study partner if youβre looking for extra guidance. We offer comprehensive subject-wise coverage via PYQ recall videos, high-yielding Qbank, targeted test series, and complimentary hardcopy notes, ensuring aspirants are always well-prepared.
Utilising such structured learning ensures clarity, confidence, and a higher likelihood of cracking the FMGE in one goβmaking DocTutorials a reliable partner in your medical licensing journey.β Join us now and explore our FMGE course to excel in your exam!
Latest Blogs
-

FMGE Exam 2025: Date, Eligibility, Application, Syllabus, and Exam Pattern
The Foreign Medical Graduate Examination (FMGE), slated for 2025, remains a pivotal assessment for foreign medical graduates aspiring to practice…
-

FMGE Exam 2024: Latest Pattern with Preparation Tips to Crack It
The full form of FMGE is the Foreign Medical Graduates Examination. It is also known as the MCI FMGE exam.…
-

FMGE Exam 2024: Date, Eligibility, Application, Syllabus & Subjects, and Exam Pattern
Are you a foreign medical graduate who wishes to practice in India? If so, you must clear the Foreign Medical…




